눈코 둘다 재수술했어요 ㅠ

3달 전조회 4,911
0
남자
20 대
김도연
5






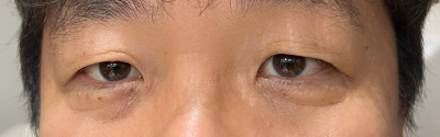
4년전에 했었는데 눈 풀려서 짝짝이 되었고 쳐진눈에,
코는 메부리 제거를 했지만 제대로 안하신건지 울퉁불퉁해보이는 그런 상황이라 재수술 했습니다~
디에이 남자분들도 많이 가길래 거기서 했구요 사람 상대하는 서비스 직종이다보니 보여지는거에 예민한 부분이 있는데 시간이 지날수록 재수술 해야겠다는 생각밖에 안들구요 그래서 했습니다.
피곤해보이는 인상에서 이제는 이쁜눈이 되었고 다크서클마냥 피곤해보였던것도 눈밑지방재배치도 같이 하니 억울해보였던 인상이 완전히 사라졌습니다. 주변에서도 하길 잘했다는 말을 듣고 여자친구도 생겼구요! 그리고 코 같은 경우에도 메부리 제거를 해서 직선코로 이쁘게 만들어주셨어요~
인상도 훨씬 좋아보이고 사람 대할때 좀 더 자신감 있게 말할 수 있어서 좋네요
디에이성형외과의원병원 이벤트 더 알아보기본인의 시술, 상담 경험 등의 의료정보를 공유하는 게시판 입니다.
타인의 게시글을 본인이 수술, 시술한 것처럼 거짓으로 도용 및 편집할 경우 적발 시 무통보 게시글 삭제, 강퇴 조치됩니다.
남자 스타일 성형 1등 커뮤니티 대다모 댄디
로그인하고 더 많은 정보를 찾아보세요